تقنية تصوير الدماغ بدقة فائقة باستخدام أحدث أجهزة الرنين المغناطيسي
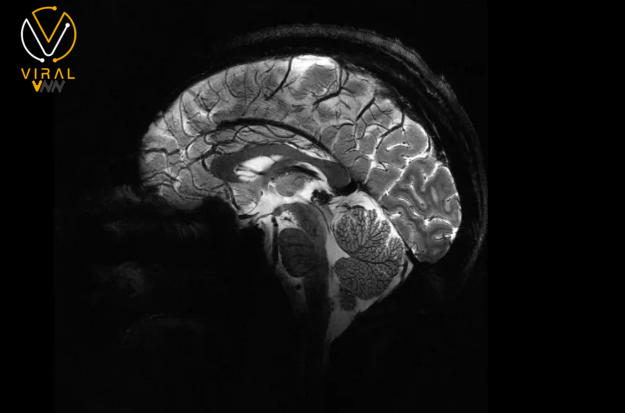
تقنية تصوير الدماغ بدقة فائقة باستخدام أحدث أجهزة الرنين المغناطيسي حيث أصدرت هيئة الطاقة الذرية في فرنسا صورة هي الأدق على الإطلاق لدماغ إنسان بعد الحصول على الموافقة النهائية لاستخدام أحدث جهاز تصوير بالرنين المغناطيسي.
وكانت السلطات المختصة قد أمهلت قبل منح التصريح، بعد استخدام الجهاز لأول مرة في عام 2021 لتصوير ثمار اليقطين،
ولكن في الأشهر القليلة الماضية، خطوبا نحو 20 متطوعًا ليكونوا أول من يختبرون الجهاز الذي تم تثبيته الآن في منطقة بلاتو دي ساكلاي جنوب باريس، والتي تعتبر مركزًا للشركات التكنولوجية والمؤسسات الأكاديمية.
يقول الفيزيائي ألكسندر فيغنود إنهم تمكنوا من الوصول إلى درجة عالية من الدقة التي لم تحقق من قبل.
يبلغ شدة المجال المغناطيسي الذي يولده الجهاز حوالي 11.7 تسلا،
مما يمكّنه من إجراء عمليات المسح بدقة أكبر بعشر مرات مقارنة بأجهزة التصوير بالرنين المغناطيسي التقليدية في المستشفيات، التي تكون قوتها عادة حوالي 3 تسلا.
من خلال مقارنة الصور الملتقطة بواسطة الجهاز الجديد مع صور من أجهزة التصوير التقليدية، يقول فيغنود إنهم نجحوا بفضل استخدام الماسح الضوئي القوي في رؤية الأوعية الصغيرة التي تغذي القشرة الدماغية،
وتمكنوا من ملاحظة تفاصيل المخيخ التي لم يسبق الكشف عنها قبل ظهور الصور الجديدة.
تؤكد عالمة الفيزياء ووزيرة الأبحاث في فرنسا، سيلفي ريتيللو، أن درجة الدقة التي تم التوصل إليها لا يمكن وصفها بالكلمات،
وتقول إن هذا الإنجاز سيساهم في علاج واكتشاف العديد من أمراض الدماغ بشكل أفضل، ويساعد في التشخيص المبكر.
مكونات الجهاز
الجهاز مكون من أسطوانة طولها 5 أمتار، تحتوي على مغناطيس يزن 132 طنًا، ويعمل بواسطة تيار كهربائي يصل إلى 1500 أمبير.
كما أن للأسطوانة فتحة بطول 90 سم يمكن للأشخاص البالغين دخولها بسهولة دون أي عوائق.
بالطبع، في كوريا الجنوبية والولايات المتحدة تُصنع أيضًا أجهزة قوية للتصوير بالرنين المغناطيسي، ومع ذلك، لم تدخل هذه الأجهزة في نطاق الخدمة بعد.
من بين التجارب العلمية التي يستخدم فيها العلماء تقنية التصوير بالرنين المغناطيسي،
هو التعرف على الإشارات الكهربائية في الدماغ التي تظهر وتنشط فجأة في مناطق معينة في القشرة الدماغية عند التعرف على أشياء معينة.
يعتقد العلماء أن جهاز التصوير الحديث سيسهم في تعزيز القدرة على فهم الرابط بين الوظائف المعرفية وبنية الدماغ.
ويأمل الباحثون أيضًا أن يساهم الجهاز في التعرف على حالات التنكس العصبي مثل مرض ألزهايمر ومرض باركنسون،
بالإضافة إلى الحالات النفسية مثل الفصام أو الاكتئاب. كما يأمل الباحثون أيضًا في فهم كيفية استجابة الدماغ لأدوية علاج الاضطراب ثنائي القطب.



